만성 혈우병성 관절병증
안녕하세요~ 주호아빠입니다. 저번 포스팅에서는 혈우병의 정의와 임상적 특징을 공부해 보았습니다. 이어서 혈우병에 대해서 계속 공부해 보겠습니다.
혈우병 환자분들의 관절에서 반복적인 출혈은 결국 관절 조직에 만성적인 변화를 동반하게 됩니다. 이러한 만성적인 변화는 혈액막, 연골, 관절주머니, 인대, 뼈 그리고 근육에 영향을 미치며 반복적인 출혈이 지속될 경우에는 거의 10년에서 20년 내에 만성 활액막염을 일으키게 됩니다.
만성 활액막염은 활액막의 비대를 일으킴으로써 관절이 움직일 수 있는 범위를 제한시키고 주변 근육들의 위축을 가져오게 됩니다. 이러한 경우에 가장 먼저 근력과 가동범위 운동을 통한 관절 가동성 유지가 가장 중요한 부분입니다.
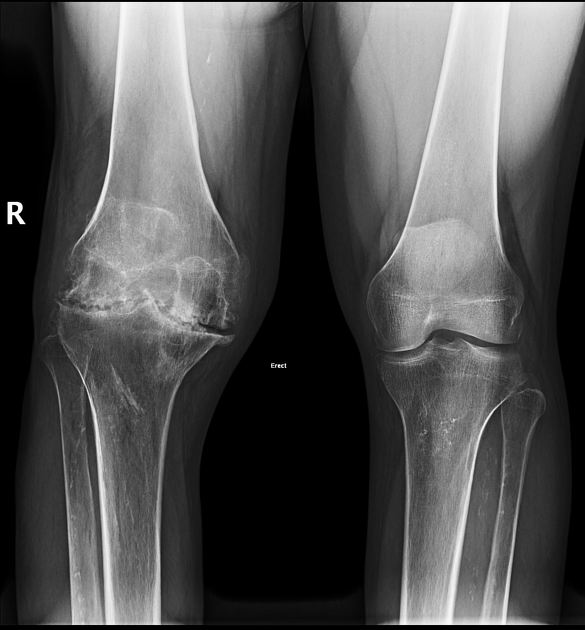
또한 반복적인 출혈 정도에 따라서 만성 혈우병성 관절병증(chronic hemophilic arthropathy)으로 될 수 있습니다. 이 질환은 만성활액막염과 함께 혈관절증이 진행이 되어 관절 연골에 손상을 받게 된 상태로 출혈 정도에 따라서 10대 이하에서도 발생될 수 있습니다. 이 질환이 만성화되면서 활액막과 관절주머니는 점차적으로 섬유화(fibrosis)가 되고 부종은 줄어들게 됩니다. 또한 관절이 섬유화 됨에 따라서 굽힘 구축과 운동성의 감소로 인한 기능 상실을 가져오게 됩니다.
만성 혈우병성 관절병증으로 인한 통증은 상태에 따라서 발생될 수도 있으며 뼈에는 가골이 형성이 될 수 있으며 뼈의 밀도가 감소하여 골다공증이 발생합니다. 그리고 연골 간 공간이 매우 좁아지게 되며 관절면이 불규칙해집니다. 그러면서 관절의 변형이 나타날 수 있습니다.

반복적인 출혈로 인해 만성적으로 나타나는 관절의 구축 중 무릎 관절이 잘 펴지지 않게 하는 무릎이 굽혀진 상태로의 구축은 일상생활 동작의 제한을 일으키게 되는 가장 중요한 문제 중 하나입니다. 이를 개선하기 위해 보존적 요법으로 물리치료적인 방법을 시도하고 개선이 안 될 시에는 수술적인 요법을 실시하게 됩니다.
거짓 종양과 골절
혈우병 환자에게는 거짓 종양이라는 특이한 질환이 발생되는데 이는 팔다리의 기능 소실과 생명을 위협하는 생태를 야기시킬 수 있는 매우 중요한 질환이라고 합니다. 특히 팔다리의 긴 뼈나 골반부에 흔히 발생되며 근육과 같은 물렁 조직의 출혈을 적절히 관리하지 못했을 경우에 발생하게 됩니다. 적절한 치료를 하지 않을 경우에 덩어리가 지속적으로 커져서 신경혈관 조직을 압박하여 골절을 일으킬 수도 있습니다. 거짓 종양의 크기가 클 경우에는 수술적인 방법으로 제거해야 합니다.
또한 골절은 혈우병 환자에게서 흔하게 볼 수 있는 질환입니다. 무릎관절과 엉덩관절 주위에서 특히 많이 발생하는데 이는 관절의 경직으로 인한 운동성의 제한과 뼈의 밀도가 낮아서 생기는 골다공증이 원인입니다. 혈우병 환자의 골절 시 고정한 부분 이외의 관절의 가동성을 유지하는 것이 중요하며 골절 부위가 안정화되기 시작하면 물리치료를 시작하여서 가동범위를 확보하는 것이 중요합니다.
혈우병 환자 출혈 시 처지방법
혈우병 환자가 출혈이 생길 때 즉각적으로 처치하는 법이 중요합니다. 먼저 급성으로 출혈이 발생된 경우에는 Rest, Ice, Compression, Elevation의 앞글자를 딴 'RICE'기법을 실시하는 것이 가장 먼저입니다. 환자를 안정시키고 얼음팩과 같은 냉찜질을 적용하고, 상처부위의 출혈이 더 생기지 않도록 압박하고 상처부위가 심장보다 높게 하여 출혈이 지연되도록 하는 것이 필요합니다. 냉찜질의 적용은 20분씩 4~6시간마다 적용하는 방법이 적당하다고 합니다.
관절에 출혈이 생길 시에는 가장 먼저 응고인자 제제를 투여하여 혈액이 잘 응고될 수 있게 한우에 출혈이 중단된 후 통증이 경감되면 관절가동운동을 실시하여 관절의 움직임을 확보해야 합니다.
근육에 출혈이 생기면 2~3일 정도 적당한 양의 응고인자 제제를 투여한 다음 출혈이 발생된 근육이 신경이나 혈관을 압박하거나 손상시키지 않는지 확인해 봐야 합니다. 하지만 경미하게 출혈이 있는 경우에는 응고인자를 투여하지 않고 강한 압박과 냉찜질의 적용으로 증상을 완화시킬 수 있습니다.
마지막으로 중추신경계통 부위의 출혈이 생기면 응급상황이므로 즉각적인 의학적 처치를 위해 병원을 가는 것이 필수적입니다.
'출산과 육아일기' 카테고리의 다른 글
| 화상의 정의와 원인, 화상 종류의 분류 (0) | 2024.12.09 |
|---|---|
| 아기가 3시간 마다 우는 이유와 분유먹고 토하는 이유 (1) | 2024.12.07 |
| 혈우병의 정의와 특성, 혈관절증과 근육혈종 (0) | 2024.12.05 |
| 근위축증의 종류(베커형, 팔다리이음구조형,얼굴어깨위팔형,근긴장형) (1) | 2024.12.04 |
| 근위축증(muscular dystrophy) 중 듀센형 근위축증의 원인과 특징 (1) | 2024.12.03 |
댓글